The modern permanent tooth replacement solution dental implants are the gold standard for replacing missing teeth, offering unmatched durability, reliability, and a natural look. They are the only solution that restores both the tooth and its root, ensuring long-lasting results. Whether you are missing one tooth, several, or an entire arch, Dr. Singh can help you regain a complete, confident smile. Contact us today to explore your options for dental implants in Vacaville CA.

➤ Dental implants performed by experts entirely in-office
➤ Dental restorations custom designed for every patient
➤ Advanced Dental technology available
➤ Multiple financing options for all Budgets

At our office, “implant” is in our name for a reason—we provide complete dental implant treatment without referring you to multiple offices to complete the dental implant procedure. Unlike other practices, Dr Singh have the advanced training and expertise to handle every step of the process in-house. From your initial consultation to the final restoration, you’ll work with the same trusted team, ensuring a seamless experience that saves you time, money, and stress while achieving your perfect smile.
Call: 707-416-4875Affordable Prices for various Dental Implant procedures done in a day.

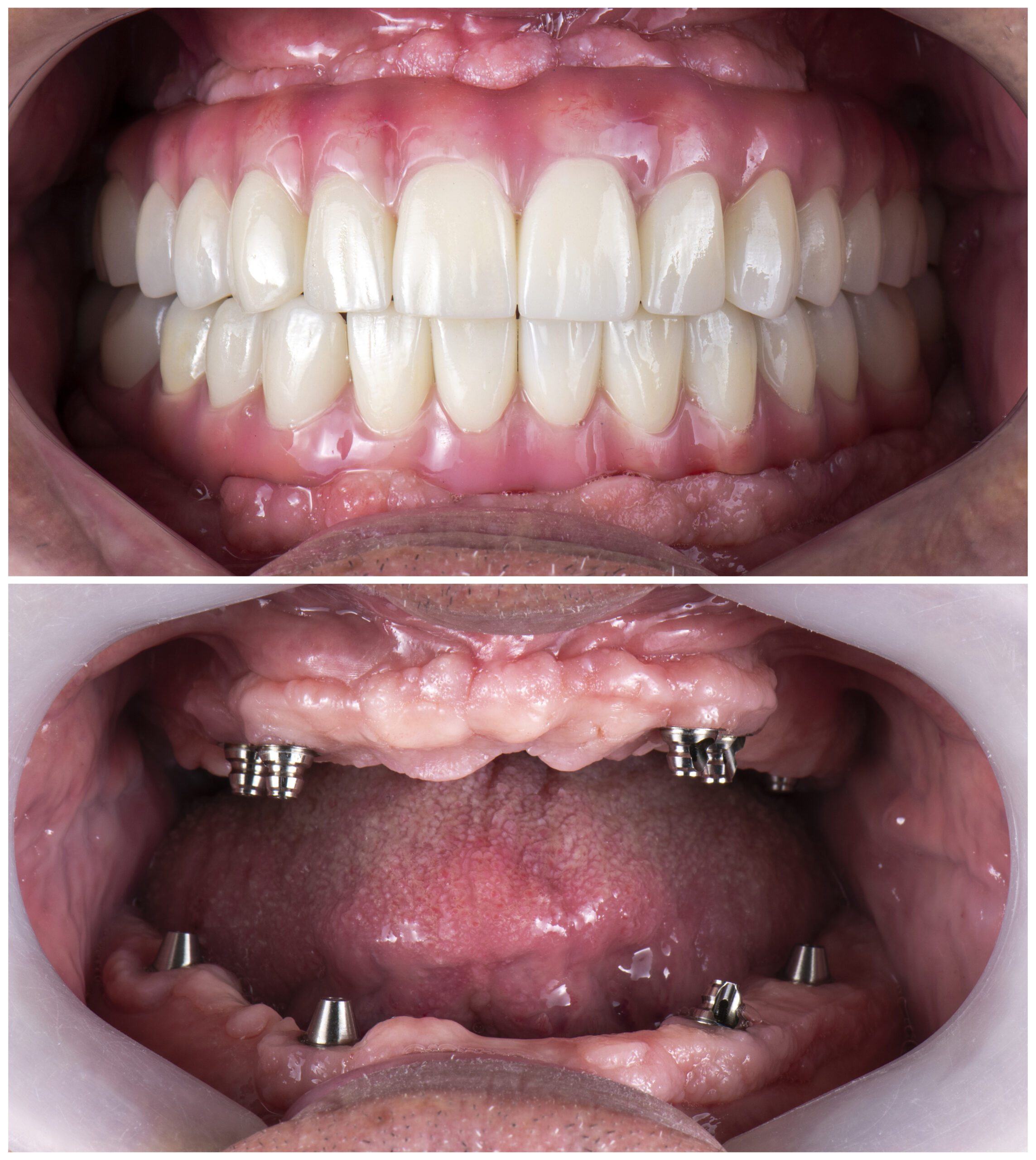
.jpg)
.jpg)


The cost of dental implants depends on individual factors such as oral health, necessary procedures, and treatment goals. Some patients need a single implant, while others may require bone grafting, multiple implants, or full-arch restorations. At NextGen dental smiles & Implant Studio in Vacaville CA (California), we provide transparent, upfront pricing, ensuring you have all the information needed to make confident decisions about your oral health investment. Unlike corporate dental chains that prioritize volume over individualized care, we focus on patient education, customized treatment plans, and a stress-free experience from consultation to final restoration.
Complete Dental Implants start at just $1,599! Contact us today to learn more about your options.*

Dental implants are designed to fully restore missing teeth with three key components: the post, which acts as the artificial root, the abutment, which connects the pieces, and the restoration, which can be a crown, bridge, or denture. This structure closely mimics natural teeth, creating a complete, functional, and lasting smile. With dental implants, you can enjoy a diverse diet, maintain long-term oral health, and smile with confidence. As the most durable and reliable tooth replacement option, implants offer decades of benefits for a healthier, more natural-looking smile.
Strong and durable, implants let you eat without restrictions, from steak to apples, improving both nutrition and comfort.
By filling gaps, implants prevent facial collapse, support bone health, and maintain a youthful, natural appearance.
Securely placed implants eliminate worries about slipping restorations, allowing you to smile and laugh freely without second thoughts.
Even with just two implants, dentures gain superior support and comfort compared to traditional adhesives.

Post-Surgery Care: What to Do After Dental Implant Surgery
After dental implant surgery, its crucial to protect the blood clot at the surgical site to ensure proper healing. Follow these guidelines to avoid disrupting it:
✅ Avoid Spitting – Use a tissue or swallow saliva instead.
✅ Skip Straws – Drinking with a straw can dislodge the clot.
✅ No Smoking – Smoking can delay healing and increase complications.
✅ Hands & Tongue Off – Refrain from touching the surgical area to prevent irritation.
Following these steps will promote a smooth recovery and help ensure the success of your dental implant.
Post-Op Care & Oral Hygiene
The day after surgery, you can resume brushing your teeth as usual, but be careful to avoid the surgical site. To keep the area clean, gently rinse with salt water after meals. When using mouthwash, choose an alcohol-free option to prevent irritation and promote healing. Proper oral hygiene is key to a smooth recovery.
Proper care ensures the longevity and success of your dental implants. Follow these essential tips:
✅ Brush & Floss Daily – Use a soft-bristled toothbrush and non-abrasive toothpaste to clean around your implants.
✅ Rinse with Alcohol-Free Mouthwash – This helps prevent irritation and keeps your gums healthy.
✅ Schedule Regular Dental Checkups – Routine visits allow your dentist to monitor your implants and oral health.
✅ Avoid Hard or Sticky Foods – These can put excessive pressure on your implants and restorations.
✅ Quit Smoking & Limit Alcohol – Both can slow healing and increase the risk of implant failure.
With proper care, dental implants can last a lifetime, keeping your smile healthy and strong!

At NextGen Dental Smiles in Vacaville, CA, we’re dedicated to providing top-tier dental implant care backed by expertise and compassion. Our skilled team uses the latest technology and trusted techniques to ensure each procedure is precise, safe, and effective. We take a personalized approach to every patient—listening to your concerns and tailoring treatment to suit your unique needs. Your comfort, oral health, and satisfaction are always our top priorities. Count on us for dental implants—and fillings—that are built to last and designed to restore your confident smile across Vacaville CA and surrounding communities in California.
Most dental implants last well over three decades, with proper care. Their lifespan varies depending on factors like oral hygiene, regular dental checkups, and avoiding harmful habits such as smoking, nail-biting, or using teeth as tools. With good maintenance, implants can serve as a permanent solution for missing teeth.
During the procedure, Dr. Singh will numb your mouth with a local anesthetic, and sedation may be used to ensure maximum comfort. While the surgery itself is painless, mild soreness may follow for a few days. Discomfort can be easily managed with over-the-counter pain relievers and cold compresses.
To qualify for dental implants, you must be an adult with a fully developed jaw and healthy bone tissue to support the implant. Additionally, having no medical conditions that could interfere with healing and maintaining good oral hygiene are key factors. If you are unsure about your eligibility, schedule a consultation with us. Even if you don’t immediately qualify, we can help improve your oral health and explore options to make implants a possibility for you in the future.
Implants can fail due to peri-implantitis (a gum infection caused by poor oral hygiene) or failed osseointegration (when the implant doesn’t properly fuse with the jawbone). Other risk factors include chronic teeth grinding, certain medications, and underlying health conditions like diabetes and cancer. Proper care significantly reduces the risk of failure.
Dental implants are designed to look and feel completely natural—no one will notice unless you tell them. The implant itself is placed beneath the gums, and the restoration is carefully crafted to match the color, shape, and appearance of your surrounding teeth. Even on an X-ray, only a trained professional would be able to identify it. With dental implants, you can smile, speak, and eat confidently without anyone knowing the difference!
Most patients only need one to two days off after surgery. However, recovery time depends on the complexity of the procedure. If you have a physically demanding job, taking three to four days off is recommended, as strenuous activity can slow healing by diverting blood from the implant site.
Success Stories
Get in touch with our friendly staff in Vacaville, CA to schedule a visit or learn more about our dental services.

Schedule an appointment with us today to discover the difference of advanced, proven technologies, a full suite of services, and exceptional quality in dental care – all tailored to give you a healthier, happier smile.