When most people think of dental care, they focus on their teeth - but your gums play an equally vital role in your oral health. Did you know that nearly 80% of Americans experience gum disease at some point? If left untreated, it can lead to serious dental and health issues. At NextGen Dental Smiles, the leading dentistry in Vacaville, CA, our skilled team specializes in early detection and advanced treatment of gum disease to protect your smile before irreversible damage occurs. Contact us today to learn the warning signs and discover how our expert periodontal therapy can restore your gum health and confidence.

Healthy gums are the foundation of a healthy smile. When gum disease goes untreated, it can lead to serious problems like tooth loss, bone damage, and even affect your overall health — increasing the risk of heart disease, diabetes, and inflammation throughout the body. Since gum disease often begins without pain, early detection and treatment are essential for preserving your teeth, confidence, and long-term wellness.Did you know? Nearly 50% of adults over 30 have some form of gum disease — but it’s preventable with the right care.

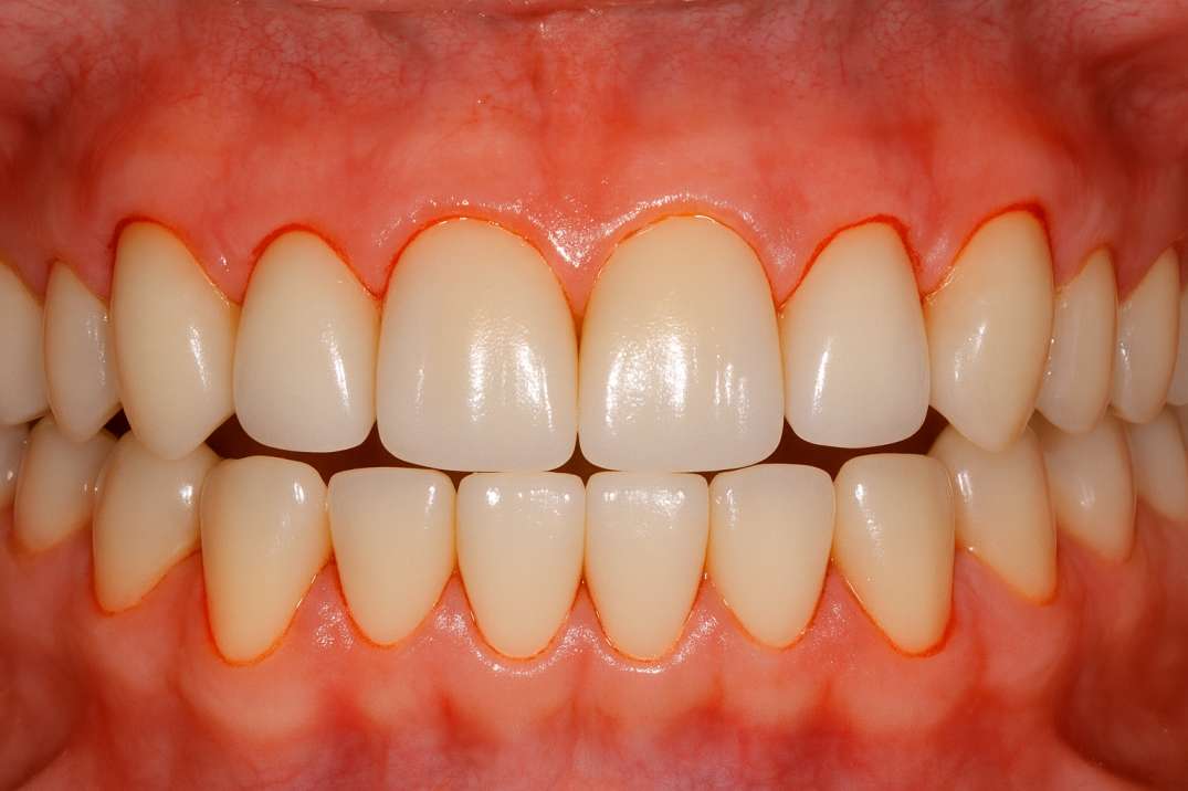
Gum disease often starts silently, but there are early warning signs you shouldn’t ignore:
☑️ Bleeding gums when brushing or flossing
☑️ Persistent bad breath or a bad taste in the mouth
☑️ Receding gums that make teeth appear longer
☑️ Loose or shifting teeth
☑️ Swollen, red, or tender gums
If you’re experiencing any of these symptoms, it’s time to schedule a gum health evaluation — early treatment can help prevent serious damage and protect your smile.
We offer advanced periodontal care to stop gum disease, restore health, and protect your smile for the long term. Explore our specialized treatments below and discover how we can help you regain confidence in your oral health.

Removes plaque and tartar below the gumline to halt gum disease and promote healing.

A minimally invasive treatment that targets infected tissue with precision and comfort.

Regular cleanings and checkups designed to keep gum disease from returning.

Restores receding gums using natural or donor tissue for improved function and appearance.

Reshapes excess gum and bone to expose more of the tooth structure for restorative or cosmetic purposes.

Reduces deep periodontal pockets to prevent bacterial buildup and tooth loss.

Stimulates and rebuilds lost bone for stronger support around teeth or future implants.

A permanent, natural-looking solution for missing teeth caused by gum disease or injury.
☑️ Laser Dentistry – targets gum infection with less pain, less bleeding, and quicker healing.
☑️ Digital Imaging & 3D Scans – provides precise, detailed views for accurate diagnosis and treatment planning.
☑️ Painless Techniques – modern tools and methods ensure a more comfortable, stress-free experience.
☑️ Advanced Periodontal Charting – tracks gum health over time for better monitoring and long-term results.
☑️ Improved Precision & Comfort – technology-driven care leads to faster recovery and better treatment outcomes.


When it comes to treating gum disease and protecting your oral health, you deserve expert care you can trust. Here’s what makes our periodontal team the right choice:
☑️ Experienced Periodontist – Specialized expertise in diagnosing and treating all stages of gum disease.
☑️ Minimally Invasive Options – Advanced techniques, including laser therapy, for faster healing and greater comfort.
☑️ Personalized Treatment Plans – Care tailored to your unique gum health needs and long-term goals.
☑️ Comfort-First Approach – Sedation and gentle methods available to ease anxiety and ensure a stress-free visit.
☑️ Trusted in Vacaville, CA – Known for results-driven, compassionate care backed by strong patient satisfaction.
☑️ Focused on Prevention & Education – We help you understand your condition and how to maintain a healthy smile for life.
Most periodontal treatments are minimally invasive and performed with local anesthesia or sedation for your comfort. Advanced techniques like laser therapy also help reduce discomfort and speed up recovery.
Once gums have receded, they don’t grow back naturally. However, procedures like gum grafting can restore lost tissue and improve both function and appearance. Early treatment can prevent further recession.
If you notice symptoms like bleeding gums, bad breath, gum recession, or loose teeth, it may be a sign of gum disease. A periodontal evaluation can help determine the right treatment.
Treatment time depends on the severity of the disease. A deep cleaning may be completed in one to two visits, while more advanced procedures — like gum surgery or grafting — may take longer and include follow-up appointments.
Success Stories
Get in touch with our friendly staff in Vacaville, CA to schedule a visit or learn more about our dental services.

Schedule an appointment with us today to discover the difference of advanced, proven technologies, a full suite of services, and exceptional quality in dental care – all tailored to give you a healthier, happier smile.